
★歯科インプラントの詳しい説明は、このページの最下部に記載しています。
① インプラント体
¥275,000(税込)
② インプラント上部構造体
¥132,000(税込)
ロケーターアバットメント
¥77,000(税込)
③ 術前診断料金(CTスキャン)
¥22,000(税込)
④ 術前血液検査
¥5,500(税込)
⑤ 術後超音波骨折治療器
(オステオソニック5回分)
¥5,500(税込)
⑥ X-guide(エックスガイド)使用
¥55,000(税込)
通常は①から⑤の合計金額(税込)で、インプラント治療1本あたりの治療費は
¥ 440,000(税込) となります。

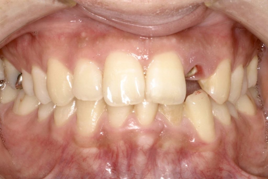
インプラントの症例1)
Before

After


★インプラントとは
これまでは歯が無くなった部分にはブリッジを渡したり、取り外し式である入れ歯の装着をしてきました。ところがブリッジのために歯を削ると、削った歯が弱くなってその寿命が短くなることがあります。また、入れ歯は異物感があり外れたり動いたりするのが、装着後の難点です。
このために開発されたのがインプラントで、現在では定評あるブローネマルクシステムの成功率は95%以上(10年成功率)と言われています。
今やインプラントは、ブリッジや入れ歯に代わる次世代の治療手段として確立されたものと考えられています。
当院で使用するインプラント材料は、世界的に絶大なる信頼性と50年以上の臨床実績を誇る、スウェーデン・ノーベル・バイオケア社のブローネマルクシステムインプラントです。ノーベル・バイオケア社はインプラントの分野での先駆者で、最高の生体材料を使用した製品の品質と安全性は世界中で高い評価を得ています。
あなたが全ての歯を失った時、あるいは失いそうな時、ブローネマルクシステムインプラントの「All-on-4 オールオンフォー」というソリューションによって噛み合わせの改善と審美的改善を図ることができます。 ・All-on-4 上顎 ¥1,980,000(税込) 下顎 ¥1,870,000(税込) All-on-4治療コンセプトとは?
