ラミネートベニアとは、歯の表面に付け爪状のポーセレン(セラミック)を装着することにより、さまざまな歯の見た目のコンプレックスを改善できます。これまでは見た目の改善を目的とした治療方法として、ご自身の歯を大きく削りいわゆる差し歯を作成して装着するのが一般的でしたが、以前に比べて接着技術が一段と進歩してきておりますので、歯を削る量は最小限に抑えられます。最短2回の治療で完了するので、芸能人の方もよくされる治療です。
ただし、この技術には歯科医師のみならず歯科技工士の高い技術が必要とされ、極めて高度な分野であります。
ラミネートベニアが適用となる症例(こんな方へ)
- すきっ歯 隙間
- ホワイトスポット(歯の白濁) エナメル質形成不全
- 歯の変色(テトラサイクリン・歯が生まれつき黄色い・変色している)
- ホワイトニングしてもご希望の白さにならない歯
- 歯が欠けている・すり減っている
- 矮小歯(生まれつき歯の小さい)など歯の形態の修正
- 軽度の歯並びの修正
- 古い詰め物がある
- 歯の表面のザラつき・でこぼこ
- 歯の先のギザギザが気になる
- その他、単純にキレイな歯にしたい
- 前歯に小さな虫歯のある方
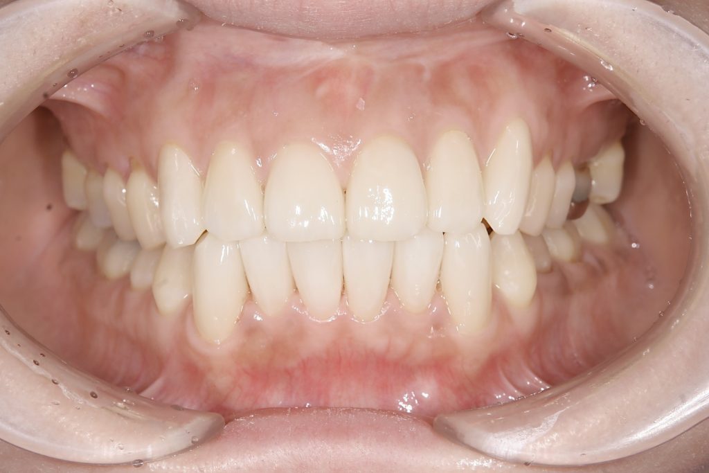
術前

術中


術後

